Mit festsitzenden Zähnen das Leben genießen
Jeder eigene Zahn ist wertvoll! Wie wertvoll, merkt man erst, wenn er ersetzt werden muss. Im Laufe des Lebens ist das leider oft der Fall. Doch dank Implantaten können wir nicht nur Zahnlücken schließen, sondern sogar kompletten Zahnersatz fest im Mund verankern. Da wackelt nichts mehr!
Warum fehlende Zähne ersetzt werden sollten
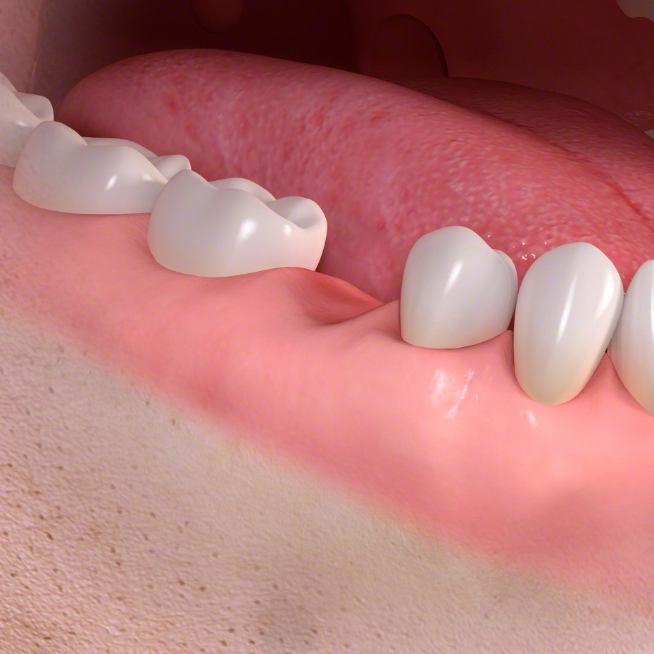
Fehlende Zähne sollten nicht nur aus kosmetischen Gründen ersetzt werden. Ein fehlender Zahn kann auch das gesamte Gebiss beeinträchtigen, indem sich z.B. Kieferknochen zurückbildet oder Nachbarzähne in die entstandene Lücke „wandern“. Die gesamte Bisslage gerät aus der Balance.
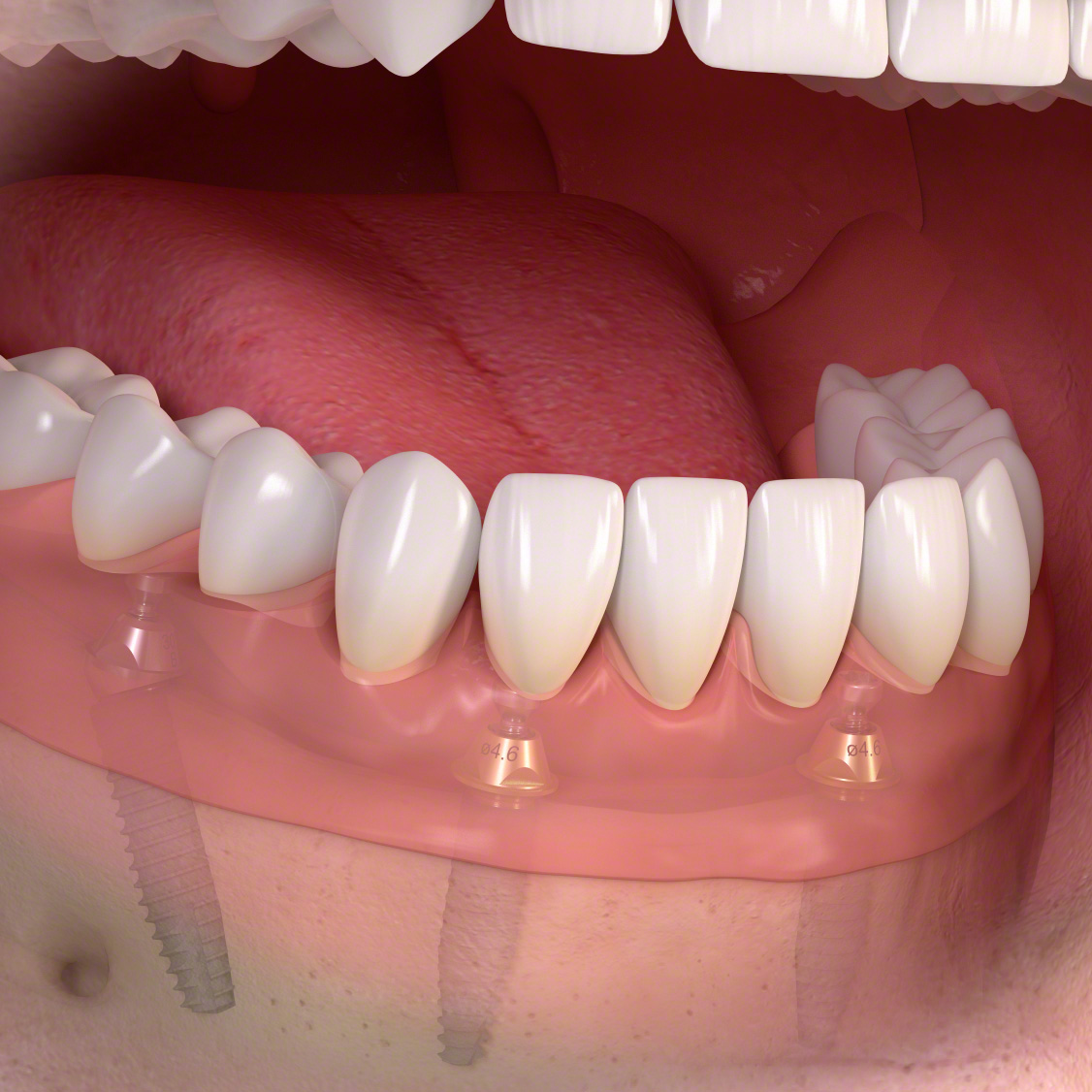
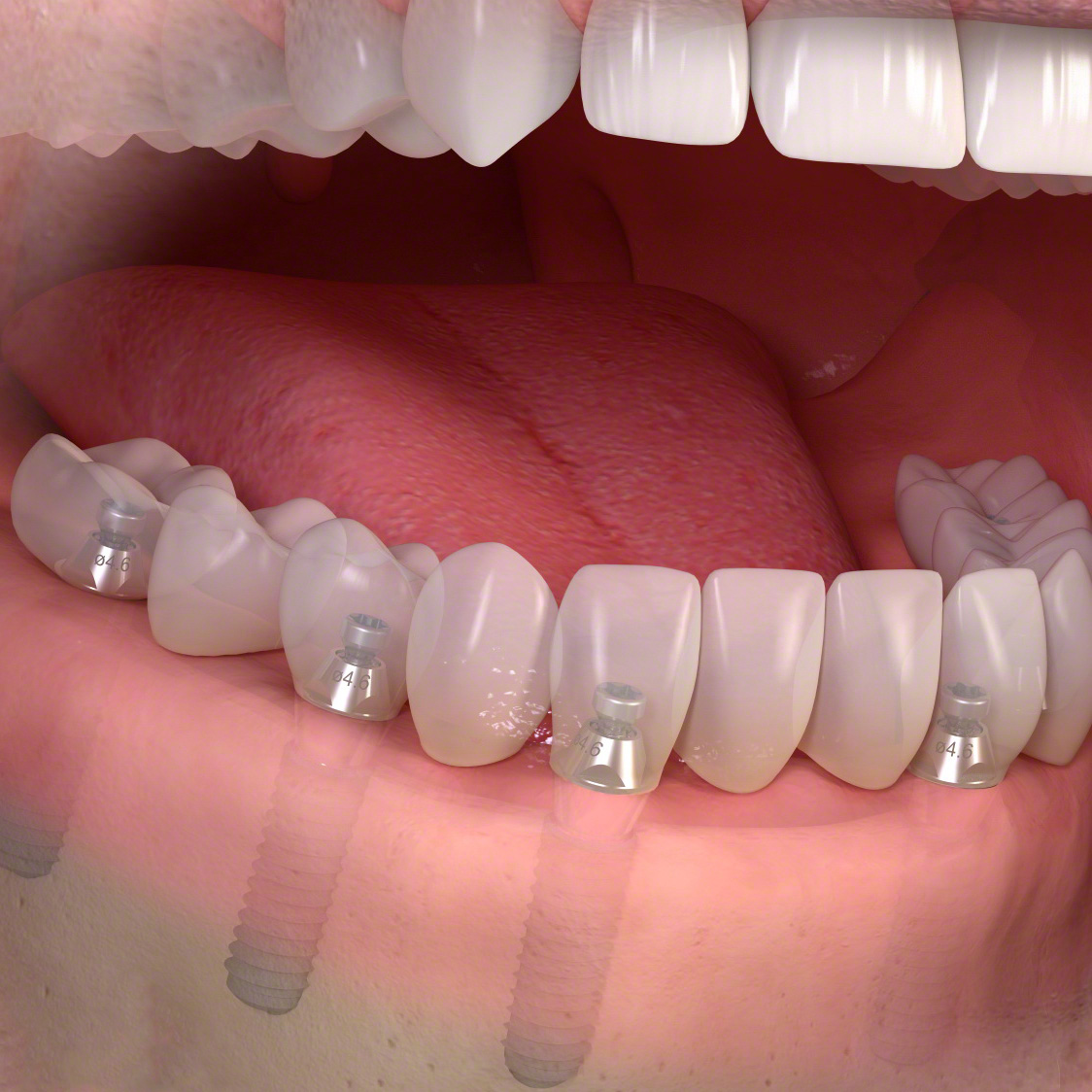
Die entstandene Lücke kann mit einer künstlichen Zahnwurzel, d.h. mit einem Implantat geschlossen werden. Implantate, meist aus Titan oder Keramik, werden dabei in einem kleinen chirurgischen Eingriff in den Kieferknochen eingesetzt. Nach dem Einheilen tragen sie später den eigentlichen Zahnersatz (Kronen, Brücken, Prothesen).
Implantate sind eine langlebige, festsitzende und komfortable Lösung und tragen damit zu mehr Wohlbefinden und Lebensqualität bei. Allerdings brauchen Sie besondere Aufmerksamkeit und Pflege: mit regelmäßiger Prophylaxe – alle 3 bis 4 Monate – werden Sie über viele Jahre Freude an Ihren neuen, festsitzenden Zähnen haben.
Für Implantat-Zahnersatz finden wir in jedem Einzelfall eine passende Lösung. Fragen Sie uns!

Die größte Gefahr für das „alternde Gebiss“ ist eine Parodontitis – sie ist nach wie vor die Ursache Nr. 1 für Zahnverlust. Zwei von drei Patienten über 60 leiden daran. Bei Patienten um die 80 sind es sogar vier von fünf, die an einer manifesten Parodontitis erkrankt sind.
Dr. Marius Plantus ist Mitglied der Deutsche Gesellschaft für Zahnärztliche Implantologie und Deutschen Gesellschaft für Orale Implantologie

















